3D Bioprinted Melanoma Models

Introduction

Cancer research has witnessed remarkable advancements over the years, and one of the most promising areas of study is the development of 3D bioprinted melanoma models. These models represent a significant leap forward in our understanding of melanoma, a serious form of skin cancer. By leveraging cutting-edge 3D bioprinting technology, researchers can now create more accurate and complex models of melanoma tumors. These models are revolutionizing the way scientists study cancer, develop new treatments, and ultimately strive towards finding a cure.

Understanding Melanoma

Melanoma is a type of cancer that originates in melanocytes, the cells responsible for producing melanin, the pigment that gives skin its color. While melanoma is less common than other types of skin cancer, it is more dangerous because it is more likely to spread to other parts of the body if not detected early. The development of effective treatments for melanoma has been a significant challenge, primarily due to the complexity of the tumor microenvironment and the variability in how patients respond to treatments.

The Need for Advanced Models

Traditional methods of studying melanoma have relied heavily on 2D cell cultures and animal models. While these methods have provided valuable insights, they have significant limitations. 2D cell cultures fail to replicate the three-dimensional structure and complexity of actual tumors, leading to results that may not accurately predict how the cancer behaves in the human body. Animal models, on the other hand, do not always perfectly mimic human cancer biology, and ethical considerations also limit their use.

To overcome these challenges, researchers have turned to 3D bioprinting technology. 3D bioprinting allows for the creation of complex, three-dimensional structures that closely resemble the architecture and environment of human tissues. This technology has the potential to provide more accurate models of melanoma, leading to better understanding and more effective treatments.

The Process of 3D Bioprinting Melanoma Models

3D bioprinting involves the layer-by-layer deposition of bioinks to create three-dimensional structures. Bioinks are materials that contain living cells and can be printed to form tissue-like structures. In the context of melanoma research, bioinks are typically composed of melanoma cells, along with various other cell types found in the tumor microenvironment, such as fibroblasts and immune cells. These cells are suspended in a hydrogel matrix that provides structural support and mimics the extracellular matrix found in human tissues.

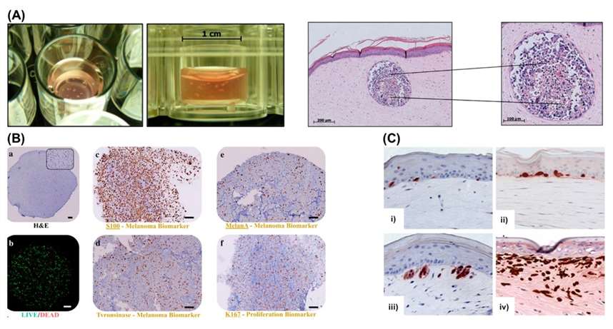
Figure 1. Melanoma models.Figure 1. Examples of melanoma models. (Fernandes S, et al.; 2022)

The process begins with the design of a digital model of the tumor. This model is created using imaging data from real tumors, such as those obtained through magnetic resonance imaging (MRI) or computed tomography (CT) scans. Once the digital model is complete, it is fed into a 3D bioprinter, which precisely deposits the bioink layer by layer to build the physical model.

One of the key advantages of 3D bioprinting is the ability to control the spatial distribution of different cell types within the model. This allows researchers to recreate the heterogeneous nature of melanoma tumors, where different regions of the tumor may have varying cellular compositions and behaviors. Additionally, the use of patient-derived cells enables the creation of personalized models that closely mimic the unique characteristics of an individual's tumor.

Related Services

Melanoma Micro-model 3D Printing Service

Applications of 3D Bioprinted Melanoma Models

The development of 3D bioprinted melanoma models has opened up numerous avenues for research and clinical applications. Some of the key areas where these models are making a significant impact include:

1. Drug Screening and Development

One of the most promising applications of 3D bioprinted melanoma models is in drug screening and development. Traditional methods of testing new cancer drugs often involve 2D cell cultures and animal models, which may not accurately predict how a drug will perform in humans. 3D bioprinted models provide a more realistic and complex environment for testing potential therapies, leading to more reliable results.

Researchers can use these models to test the efficacy and toxicity of new drugs, identify optimal drug combinations, and explore the mechanisms of drug resistance. This not only accelerates the drug development process but also reduces the reliance on animal testing.

2. Studying Tumor Biology

Understanding the biology of melanoma tumors is crucial for developing effective treatments. 3D bioprinted models allow researchers to study the interactions between different cell types within the tumor microenvironment. They can investigate how cancer cells communicate with stromal cells, immune cells, and blood vessels, and how these interactions influence tumor growth and progression.

By recreating the complex architecture of tumors, these models provide insights into the processes that drive melanoma development and metastasis. This knowledge can inform the development of targeted therapies that disrupt specific pathways involved in tumor growth.

3. Personalized Medicine

Personalized medicine aims to tailor treatments to the individual characteristics of each patient's tumor. 3D bioprinted melanoma models can be created using cells derived from a patient's own tumor, allowing for the development of personalized models that closely mimic the patient's cancer. These models can be used to test different treatment options and identify the most effective therapies for each patient.

This approach has the potential to revolutionize cancer treatment by enabling the selection of therapies that are most likely to be effective for a specific patient, reducing the trial-and-error approach currently used in oncology.

4. Immunotherapy Research

Immunotherapy has emerged as a promising approach for treating melanoma, harnessing the body's immune system to fight cancer. However, not all patients respond to immunotherapy, and understanding the factors that influence treatment response is critical.

3D bioprinted melanoma models can incorporate immune cells, allowing researchers to study the interactions between cancer cells and the immune system. This enables the investigation of how different immune cell populations and signaling pathways influence the effectiveness of immunotherapies. Insights gained from these studies can guide the development of new immunotherapeutic strategies and identify biomarkers for predicting treatment response.

Challenges and Future Directions

While 3D bioprinted melanoma models hold great promise, there are still several challenges that need to be addressed. One of the primary challenges is the need for standardized protocols and bioinks to ensure reproducibility and consistency across different laboratories. Additionally, the complexity of the tumor microenvironment means that not all aspects of human tumors can be accurately replicated in a model.

Future research will likely focus on improving the sophistication of these models by incorporating more cell types, enhancing the mechanical properties of the printed tissues, and developing better methods for vascularization and nutrient supply. Advances in imaging and computational modeling will also play a crucial role in refining the design and construction of 3D bioprinted models.

Conclusion

The development of 3D bioprinted melanoma models represents a significant advancement in cancer research. By providing more accurate and complex models of melanoma tumors, this technology has the potential to transform our understanding of the disease, accelerate the development of new treatments, and pave the way for personalized medicine. As researchers continue to refine and expand the capabilities of 3D bioprinting, the future holds great promise for improving the outcomes for patients with melanoma and other forms of cancer.

Reference

  1. Fernandes S, et al.; 3D Bioprinting: An Enabling Technology to Understand Melanoma. Cancers (Basel). 2022, 14(14):3535.
For research use only, not intended for any clinical use.
Top